Waarom is de gezondheid van onze tanden belangrijk?
Als beroepsbeoefenaar merk ik vaak dat de gezondheid van onze tanden niet veel aandacht krijgt totdat er iets ernstigers opduikt – bijvoorbeeld pijn, ontsteking of een allergische reactie. Ik herinner me dat mijn moeder en familie vaak zeiden dat ik op mijn ogen, mijn gezicht, mijn hart en mijn gewrichten moest letten, maar dat ik ook op mijn tanden moest letten, dat werd vreemd genoeg nooit echt gezegd. Natuurlijk werd er soms streng op het tandenpoetsen gehamerd en dat ik niet zoveel zoetigheid moest eten, maar het leek nooit echt van groot belang te zijn.
En toch zou het zo belangrijk zijn om al jonge kinderen dat bewustzijn bij te brengen dat ons lichaam als een geheel, als een samenhangend systeem, behandeld moet worden. Een holistische blik: als we niet voor de mondgezondheid zorgen, zorgen we daardoor ook niet goed voor bijvoorbeeld ons hart, ons immuunsysteem of onze gewrichten. Soms schiet mij ook het beeld te binnen van mijn grootouders of ooms en tantes die mij uit vervaagde herinneringen teruglachten zonder tanden. Maar onze tanden maken net zo goed deel uit van ons hele leven als onze ogen, oren of vingers. Tanden zouden niet voortijdig hoeven uitvallen. Natuurlijk waren er vroeger geen tandenborstels of tandpasta, laat staan ragers, maar laten we eerlijk zijn: toen waren er ook veel minder geraffineerde en bewerkte voedingsmiddelen. We kauwden en met kauwen ondersteunden we de natuurlijke zelfreiniging van de mond. Tegenwoordig, met onze overgaar bereide voeding en het steeds lagere gebruik van groenten en fruit, is de rol van kauwen naar de achtergrond verdwenen.
Rák Borbála, klinisch mondhygiëniste

Ik groeide op in een klein dorp waar ik al als kind begreep hoeveel het betekent om omringd te zijn door liefdevolle zorg en aandacht. Die sfeer heeft ook mijn toekomstbeeld bepaald: ik voelde dat de gezondheidszorg de plek is waar ik mezelf echt kan vinden en waar ik mezelf ten dienste van anderen kan stellen.
Hoewel mijn leven in 2006 zodanig liep dat ik mijn directe carrière in de gezondheidszorg tijdelijk op een laag pitje moest zetten, wist ik altijd dat het van tijdelijke aard was. In 2017, met inmiddels een solide achtergrond achter me, kon ik mijn verlangen om mensen in de gezondheidszorg te helpen weer naar voren brengen.
Als tandartsassistent en later als mondhygiëniste heb ik persoonlijk van de beste specialisten mogen leren, en natuurlijk is leren een leven lang bezig, want mijn vak is misschien wel een van de meest dynamisch ontwikkelende disciplines binnen de geneeskunde.
Ik geloof dat we met een mooie glimlach zonder woorden met elkaar kunnen communiceren, en daar is in de moderne wereld niet alleen behoefte aan, maar het wordt ook steeds meer verlangd. Mijn doel is om iedereen het belang van tandheelkundige behandelingen, vooral van professionele reinigingen en tandsteenverwijdering in de praktijk, duidelijk te maken.
Tegenwoordig hebben jullie waarschijnlijk bijna allemaal ervaren dat de kwaliteit van de publieke gezondheidszorg niet altijd geruststellende oplossingen biedt voor onze problemen. Privégezondheidszorg legt dan vaak een zware last op het gezinsbudget. Dat geldt ook voor de tandheelkunde.
In plaats van in te gaan op waarom tandheelkundige behandelingen bijvoorbeeld duur zijn, wil ik liever jullie aandacht vestigen op het feit dat op de lange termijn de meest economische oplossing voor mondproblemen regelmatige professionele tandsteenverwijdering en controles in de praktijk zijn — en dat al vanaf de kindertijd.
Maar wanneer je zover bent dat je tanden, je tandvlees of je kaak pijn doen, zie je dat vaak als een vrij duidelijke waarschuwing van je lichaam dat er iets mis kan zijn — dan is het verstandig een specialist of tandarts te raadplegen. Ik moet hier echter opmerken dat veel mensen zelfs dan nog niet de moed hebben om naar de tandarts te gaan, wat helaas ook op korte termijn blijvende, het hele lichaam betreffende pijn, ontsteking of zelfs ernstige orgaanstoornissen kan veroorzaken. De bloedvaten in de mond kunnen immers de zich ophopende bacteriële flora, hun toxines en metabolieten via de bloedbaan naar nabijgelegen en verder gelegen organen vervoeren, waardoor somatische reacties kunnen optreden, sluimerende aandoeningen kunnen verergeren of bestaande ziekteverschijnselen sterker kunnen worden.
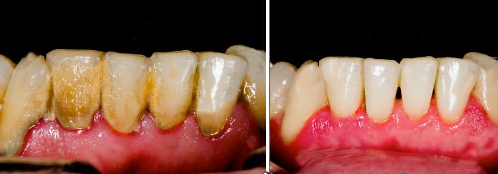
Nog lastiger wordt het wanneer er geen zichtbare symptomen in de mond of directe omgeving zijn. Omdat de meeste mensen verbazingwekkend weinig tijd besteden aan goede mondhygiëne en aan regelmatige controle door een professional, kunnen tanden en het omliggende tandvlees van de ene op de andere dag van een symptoomvrije toestand in een chronische afwijking overgaan — het verdragen en behandelen daarvan vergt eindeloos geduld, nederigheid en energie. En uiteraard, niet in de laatste plaats, veel financiën. Vaak hoor ik van patiënten dat ze zich gelukkig mogen achten omdat ze al tien jaar niet naar de tandarts zijn geweest; nu komen ze alleen omdat ze af en toe pijn voelen op bepaalde plekken of omdat hun tandvlees de laatste tijd wat gemakkelijker bloedt. Of: ‘Ik heb de tanden van mijn vader geërfd, en die had op z’n zeventigste nog bijna al zijn tanden, dus ik heb er ook geen last van — het doet niet pijn, er zit wel tandsteen, maar het doet echt geen pijn.’ In zulke gevallen ben ik soms al nerveus over wat ik in de mond zal aantreffen. Het massieve, jarenlang opgehoopte tandsteen is namelijk een van de grootste vijanden van niet alleen de tanden, maar ook van het tandvlees, het kaakbot en onze algemene gezondheidstoestand. Tegen die tijd heeft zich een zo uitgesproken mondbiom en bacteriële flora gevormd die jarenlang nodig heeft om te destabiliseren en te neutraliseren. Ondertussen infecteren die bacteriën al jaren andere organen, verzwakken ze het immuunsysteem en door het aantasten van de steunweefsels van de tanden vallen ogenschijnlijk gezonde tanden uit hun positie.

En toch is het recept voor goede mondhygiëne heel eenvoudig.
Twee zaken bevorderen dit: ten eerste regelmatig en correct tandenpoetsen, en ten tweede regelmatige mondhygiënische behandelingen in de praktijk. De twee zaken vervangen elkaar niet, ze vullen elkaar aan; beide zijn even belangrijk en noodzakelijk. Bij mijn behandelingen ligt de nadruk niet alleen op het verwijderen van tandsteen, maar ook op het steeds meer bewezen effectieve, gerichte verwijderen van biofilm.
De biofilm — dat paar cellagen dikke bacteriële plak dat met het blote oog onzichtbaar is — kan de kwaliteit van de mondflora bepalen: of deze vatbaar is voor cariës of voor parodontale aandoeningen. De verwijderde biofilm vormt zich weliswaar binnen vijf minuten opnieuw op het tandoppervlak, maar doordat we het regelmatig verwijderen geven we het lichaam de kans om, afhankelijk van de actuele toestand van het immuunsysteem, in evenwicht te blijven met de bacteriën en zodat de mondbiom in balans kan blijven. Ja, evenwicht is ook de sleutel in de mond.
Bij een reiniging in de praktijk voorzie ik mijn patiënten van op maat gemaakte, praktische tips en ideeën over hoe ze hun mondverzorgingsroutine thuis nog verder kunnen perfectioneren. Want goed tandenpoetsen is niet zo eenvoudig als we vaak denken. Maar zoals ik graag zeg: voor tanden is reinigen wat goedheid is voor de ziel.
Er moet ook kort worden genoemd dat er gevallen zijn waar iemand wel regelmatig tandheelkundige behandelingen ondergaat, maar desondanks tanden verliest of de toestand niet geruststellend is.
Helaas heb ik bij eerste ontmoetingen van meerdere patiënten zinnen gehoord als: ‘Ik ben drie weken geleden nog tandsteen laten verwijderen’ (terwijl het duidelijk veel meer tandsteen betreft dan drie weken), of: ‘Ik heb mijn tand recent laten vullen en de arts zei dat alles in orde is’ (terwijl er nog meerdere cariësplaatsen zijn), of simpelweg dat er bij de patiënt een chronische parodontale aandoening bestaat die ondanks jarenlange regelmatige tandartsbezoeken niet is gediagnosticeerd. Mijn toewijding aan het vak staat het niet toe om deze zorgprotocollen persoonlijk te bekritiseren, maar ik denk dat je, net als in alle andere medische disciplines, ook in de tandheelkunde met open ogen moet rondlopen en flexibel moet blijven. We moeten de juiste tandarts of mondhygiënist voor ons vinden, iemand bij wie we het gevoel hebben dat we ons vol vertrouwen kunnen laten behandelen, omdat we niet alleen professioneel maar ook menselijk op die persoon kunnen rekenen tijdens de behandeling.
De grootste vijand van een gezond parodontium is dus de tandplak en het tandsteen dat langdurig rond de tanden aanwezig blijft. Tandsteen ontstaat uit tandplak die op de tanden blijft zitten en de in speeksel opgeloste mineralen. Het ruwe oppervlak van tandsteen, de bacteriën die zich erin ophopen en de door hen geproduceerde gifstoffen veroorzaken in het aangrenzende tandvlees ontsteking. Het is bewezen dat de aanwezigheid van tandsteen en gingivitis schadelijk is voor de gezondheid en tanden (bijvoorbeeld als focaal probleem, vroeggeboorte, hartziekten). Steeds vaker komen patiënten naar ons met het verzoek om een negatieve focusuitslag, omdat een operatie alleen met die zekerheid door anesthesisten en chirurgen wordt uitgevoerd. In dergelijke teamwerkingen met een gezondheidsbrede, complexe visie zie ik nog toekomst voor het vertrouwen dat onze patiënten in ons stellen.
In tandsteenhoudende tanden is het overigens onmogelijk om een goede vulling te maken. Soms is nauwelijks te zien waar het tandoppervlak ophoudt en waar het tandsteen begint. Op de lange termijn leidt de bestaande ontsteking van het tandvlees in de diepte tot botafbraak. Dit veroorzaakt het verlies van het steunweefsel van de tand, waardoor tanden losraken en verloren gaan, zoals ik eerder al noemde. Over dit inleidende stuk zou ik nog over van alles kunnen praten of bepaalde onderwerpen uitgebreider kunnen uitleggen. Bijvoorbeeld over het belang van tandheelkundig focusscreening (tandsteen is ook een tandheelkundige focus), over de holistische tandheelkundige benadering, of over het conditioneren van kinderen. Misschien weten velen van jullie niet waarom het als volwassene zo belangrijk is om niets te likken dat in de mond van een kind komt, omdat de volwassen, rijpe flora de kinderlijke biom onmiddellijk kan overinfecteren. Of waarom het zo belangrijk is dat de persoon met wie je kust, gezonde tanden heeft. Er zijn dus nog veel interessante onderwerpen en ik hoor graag van jullie waarover jullie meer willen lezen of welke vragen jullie hebben over tandheelkundige zorg.
Tot die tijd, vergeet niet: goede mondhygiëne is één van de fundamenten van gezondheid, netheid en schoonheid. Gezond tandvlees is de basis voor een stralende glimlach en een frisse adem.
Meld je aan bij mij!
Meld je aan voor een volledige tandheelkundige reiniging en help niet alleen je eigen tanden te behouden, maar draag ook bij aan het beschermen van de tanden van vrienden, familie en je kinderen — hiermee bespaar je op de lange termijn de meeste tijd, energie en geld.
Met hartelijke groet,
Rák Borbála
[email protected]